The Department Of Conservative Dentistry & Endodontics provides education to develop competent diagnosticians and clinicians in the field of dentistry that focuses on the diagnosis, treatment and prevention of diseases involving the dental pulp and the tissues at the root apex. We also exclusively deal with conservative and aesthetic management of tooth deformities.


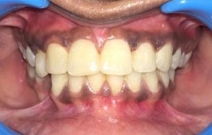
PRE - OP POST - OP

PRE - OP POST - OP
PRE - OP POST - OP

PRE - OP POST - OP
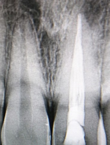
PRE - OP RADIOGRAPGH WORKING LENGTH MASTER CONE

COLD LATERAL COMPACTION OBTURATION

