The Department of Periodontics specializes in the diagnosis and treatment of the diseases and conditions of the structures that surround the teeth (gingiva and bone) and placement of dental implants. It provides knowledge, instructions and clinical experience dealing with the etiology, diagnosis, prevention and treatment of diseases affecting the supporting tissues of teeth and their substitutes such as dental implants.
CASE 1: A Case of successful periodontal plastic surgery
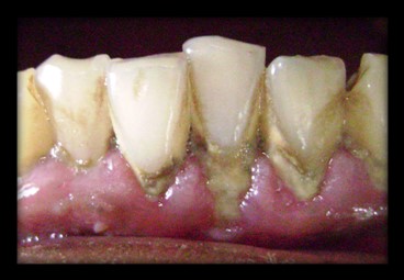
Gingival recession is the most common mucogingival deformity and should be treated at its earliest detection. Periodontal plastic surgery is a rapidly emerging field. A “laterally positioned flap”, has been used for root coverage in recession defect in mandibular anterior area, thereby allowing better esthetics, increase in attached gingiva, decreasing both hypersensitivity and cervical caries.

PRE - OP POST - OP
CASE 2: Lingual Frenectomy Case
A lingual frenectomy is also known as tongue tie release. It is the removal of a band of tissue on the underside of the tongue. This tissue when present in excess will cause difficulty in speech.

PRE - OP POST - OP
CASE 3: A Case of successful soft tissue augmentation
Insufficient or absence of attached gingiva increases the risk of development of gingival recessions. Especially thin gingival biotype is more prone to recession. “Free gingival grafting”, is reliable for increasing gingival thickness, as it maintains a blood supply to the graft and therefore has good predictability; it provides good aesthetics with preservation of the original gingival tissue.

PRE - OP POST - OP