Prosthodontics is the branch of dentistry concerned with the replacement of oral and extra oral facial structure to improve function, comfort, appearance, and health of the patient. Treatment modalities include complete denture, removable partial denture, fixed dental prosthesis, dental implants and Maxillo facial Prosthesis.
CASE 1.
PRE OP POST OP

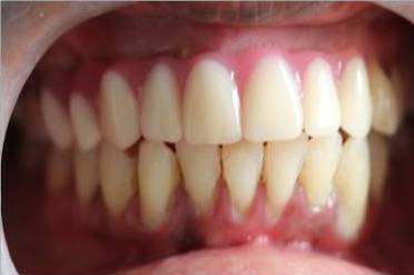
65 years old female patient had come to the Department of Prosthodontics and Crown and Bridge in Tagore dental College and Hospital with a chief complaint of missing teeth in the upper and lower arch. Pt. was given Complete denture in the maxilla and mandible and was satisfied with the treatment.
CASE 2.
PRE OP POST OP

Partially missing teeth region is replaced with removable partial denture to improve esthetics, function and to avoid migration & tilting of teeth towards teeth missing region.
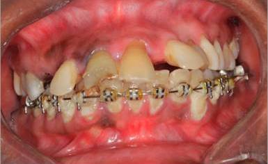
CASE 3.
PRE OP POST OP

Endodontically treated teeth for which metal ceramic crown is cemented after tooth preparation to improve esthetics , function and to avoid fracture of the teeth post endodontic procedure.
CASE 4.
PRE OP

POST OP

Procedure is done for completely edentulous patient who opts for a fixed prosthesis treatment. Multiple implants placement and hybrid prosthesis is screwed over it
CASE 5.
PRE OP POST OP

Post extraction of the teeth is replaced with gum fit acrylic prosthesis which improves both aesthetics and function.
CASE 6.
PRE OP POST OP

Patient with post - surgical defect of the eye is treated by prosthodontist with stock eye prosthesis. Which improves patient aesthetics.