Department of Oral and Maxillofacial Pathology deals with the nature of oral diseases, their causes, processes and effects. It relates the clinical manifestation of oral diseases to physiologic and anatomic changes associated with these diseases. Department includeshematology lab, histopathology lab and microscope section. It has facilities to conduct various histopathological examinations and also a complete haemograms.

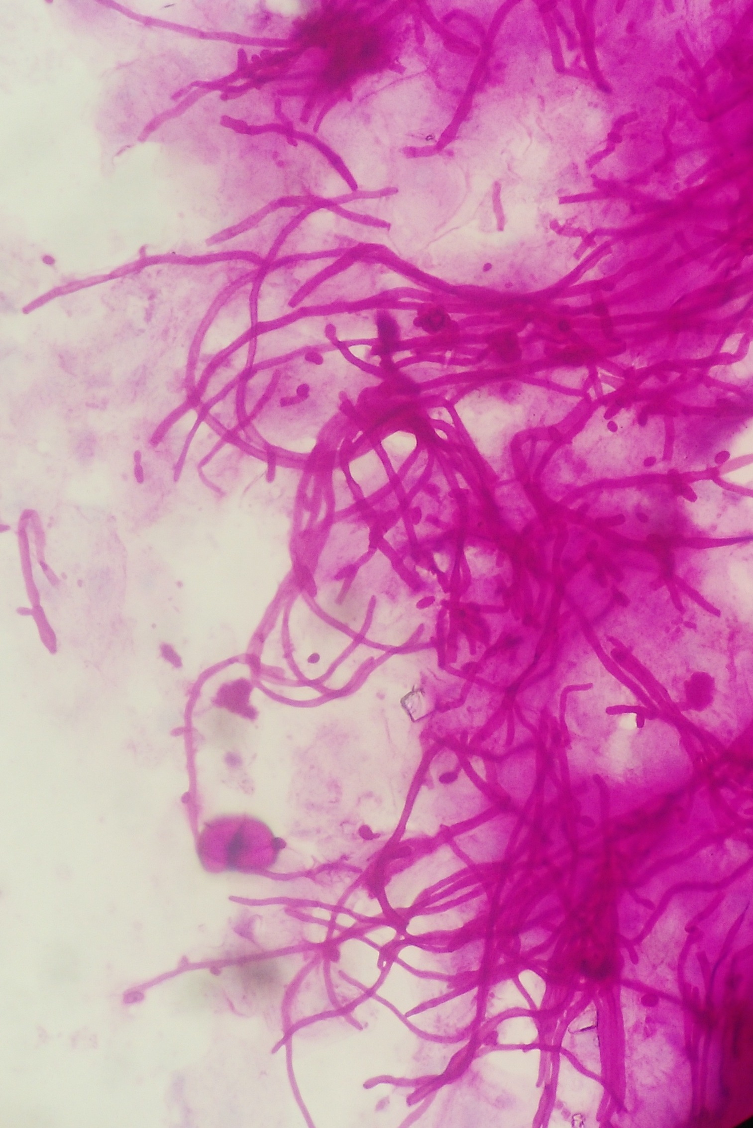
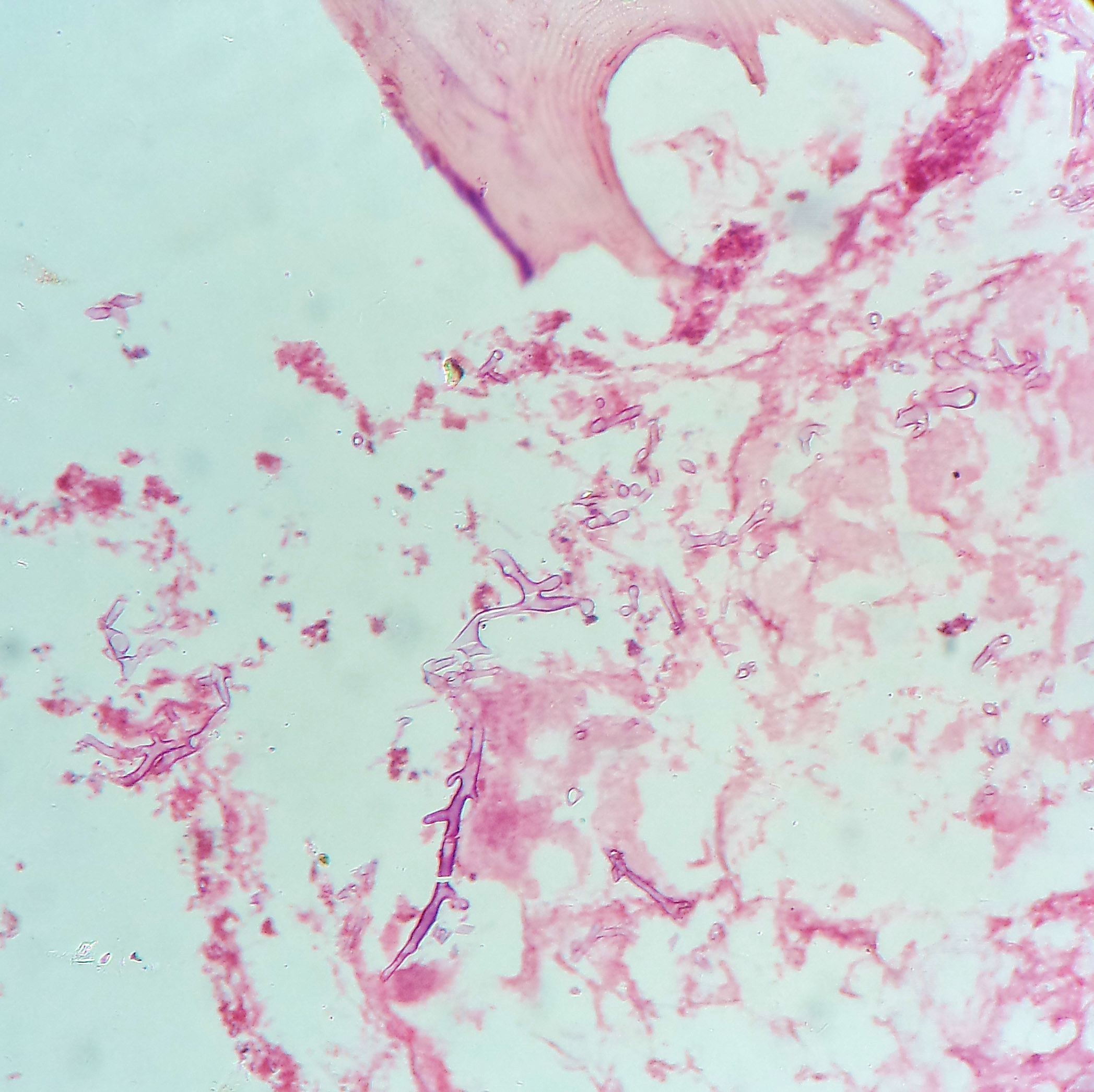
CLINICAL PRESENTATION PAPANICOLAOU STAIN PERIODIC ACID–SCHIFF STAIN

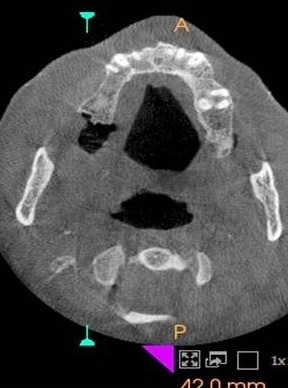
EXTRAORAL PICTURE RADIOGRAPHIC APPEARANCE HISTOPATHOLOGICAL PICTURE
RADIOGRAPHIC APPEARANCE HISTOPATHOLOGICAL PICTURE

RADIOGRAPHIC APPEARANCE HISTOPATHOLOGICAL PICTURE
INTRAORAL PICTURE CBCT APPEARANCE HISTOPATHOLOGICAL PICTURE
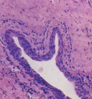
HAEMATOXYLIN-EOSIN STAIN PICROSIRIUS RED STAIN POLARIZATION MICROSCOPE